Nous veillons à ce que vous obteniez toujours
Les meilleurs résultats.
Nos Valeurs
Notre vision
Nos missions
Nos Valeurs
La qualité, au cœur de notre mission, garantit des services sans compromis pour chaque patient et médecin. Nous collaborons avec le secteur privé et public pour assurer satisfaction. L’excellence et l’intégrité guident notre travail, favorisant la confiance et la formation continue.
Notre vision
Le Laboratoire AMANA de pathologie est là afin de faire progresser les soins médicaux dans notre communauté et devenir un partenaire médical de référence en offrant des services diagnostiques d’une qualité satisfaisantes, en favorisant l’écoute client et en promouvant une culture de responsabilité, de respect et d’inclusion au sien du laboratoire.
Nos missions
- S’engager chaque jour à fournir des services de qualité, à temps et sans compromis.
- Veiller à ce que chaque patient soit traité avec respect, dignité, cohérence et équité.
- Développer une ambiance de travail motivante, responsabilisante et solidaire.
découvrez nos principaux services
01
Le client décrit
le projet
À cette étape, le client partage les informations clés du projet, décrivant ses objectifs et attentes pour que le laboratoire puisse élaborer une proposition personnalisée et détaillée.
02
le laboratoire génère
une proposition
Après analyse des besoins du client, le laboratoire élabore une proposition détaillée, incluant la méthodologie, les délais et les ressources nécessaires pour garantir des résultats optimaux.
03
nos rapports sont
livrés
Nos rapports sont livrés avec des explications précises, facilitant l’interprétation des résultats et assurant une prise de décision éclairée pour chaque projet.
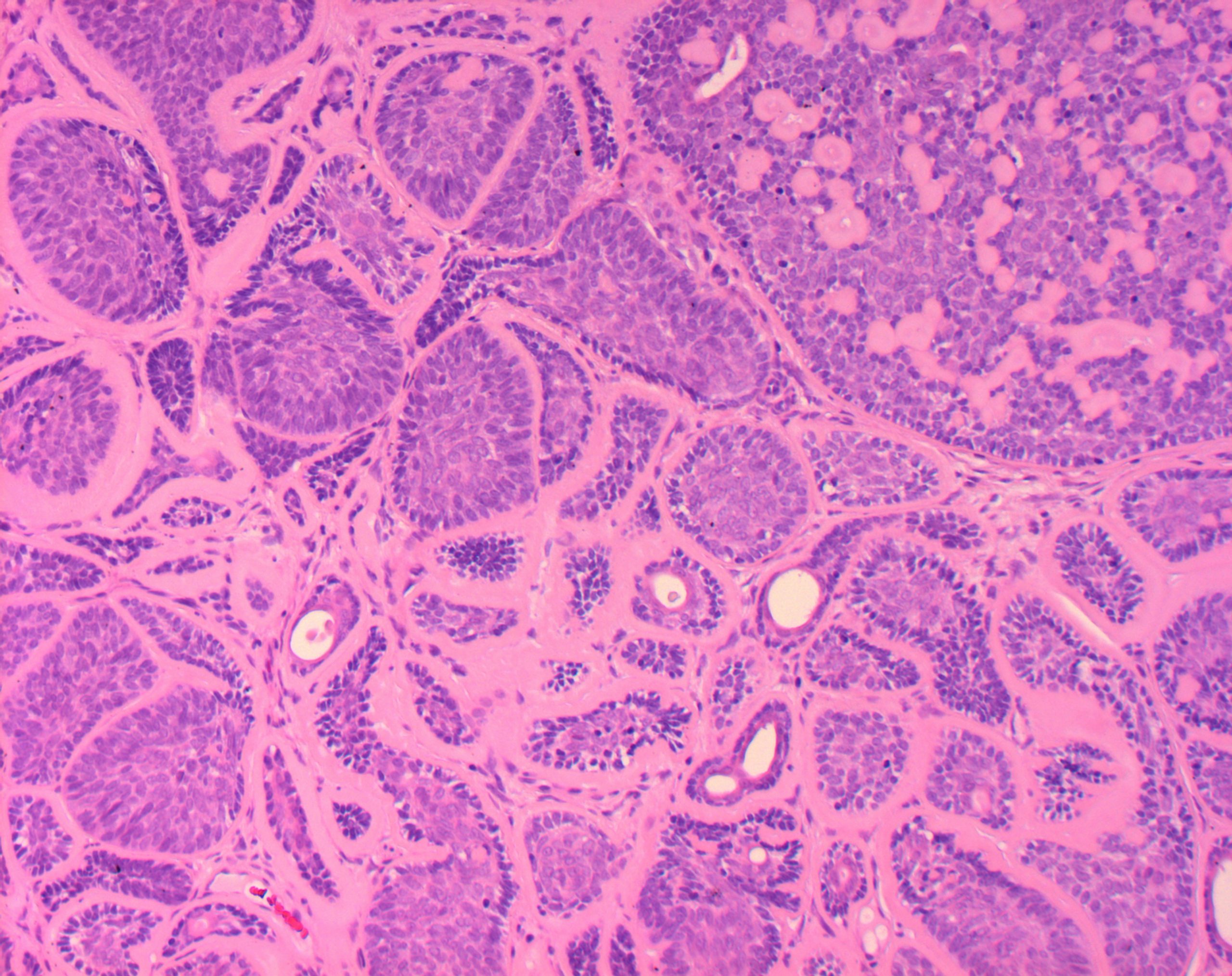
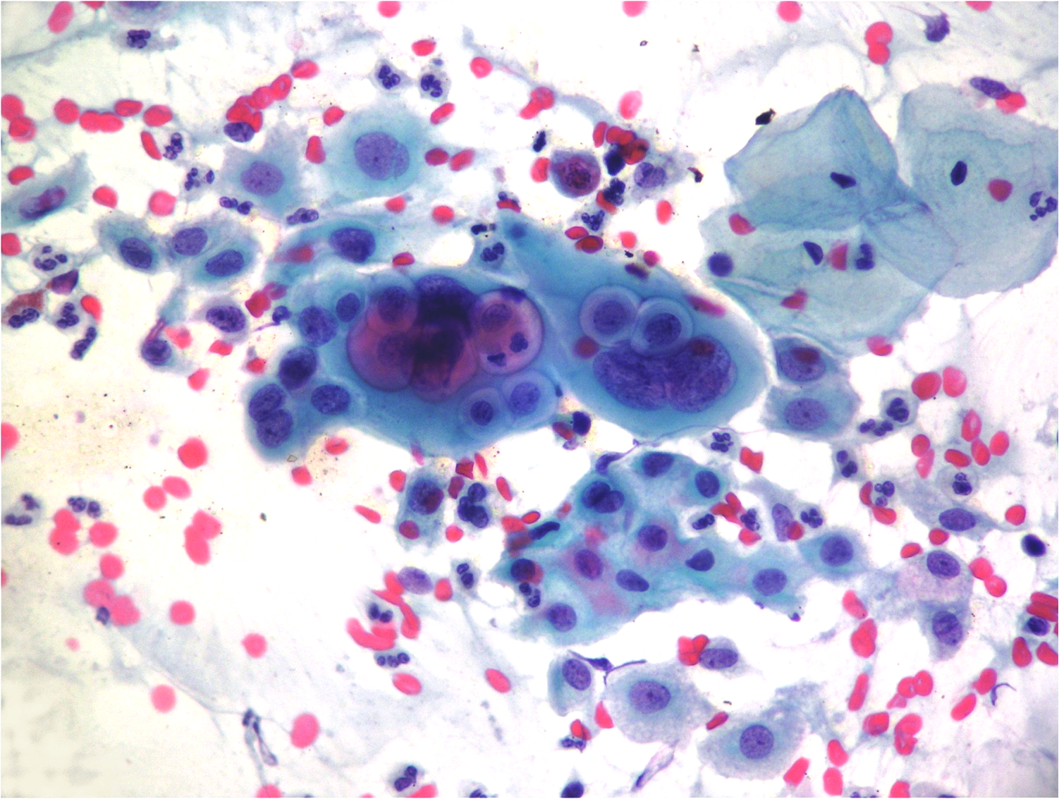
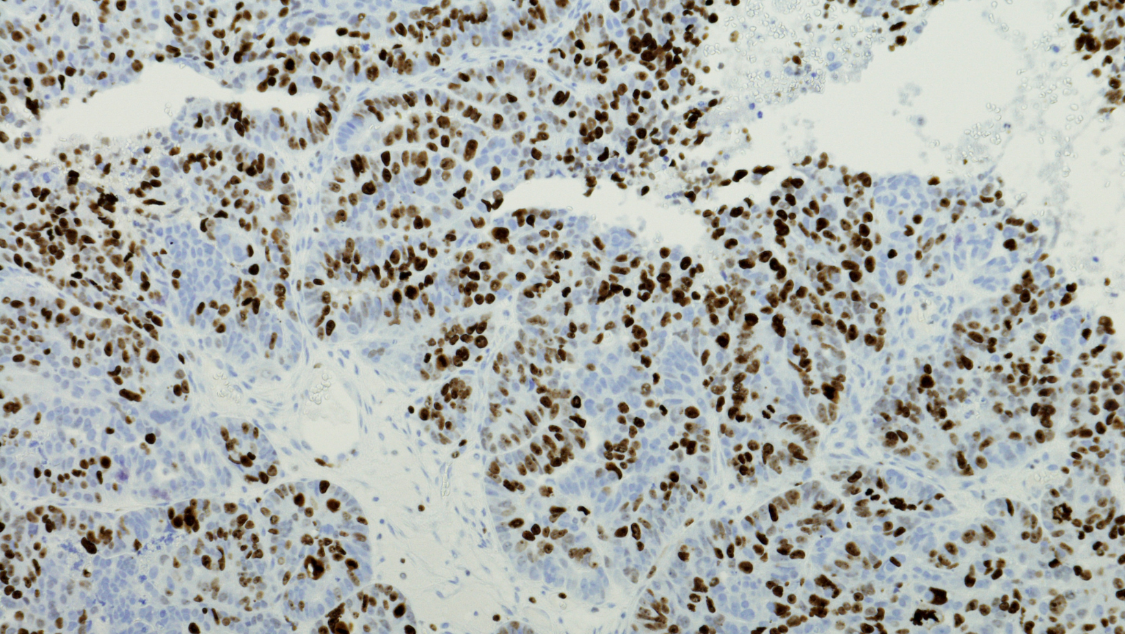
Nous sommes spécialisés dans
Tous les aspects des techniques de laboratoire.
- Cellule.
- Immunologie.
- Équipement.
- Cellule.
- Immunologie.
- Équipement.
- Médecine
- Scientifique
- Recherche
- Scientifique
- Médecine
- Immunologie





